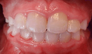
Before and After

Incredible results and inspiring journeys; see some of our patients’ before and after photos the next time you visit our practice.

Before After
Before After
Before After
Before After
Before After
Before After

What Our Patients are Saying

“From day one, Dr. Long and his staff have made me and my kids feel like family. My family and I have a very busy schedule, but the hour and a half commute to Dr. Long’s office is well worth it for me. We are always greeted with a smile. Dr. Long and his staff are always positive, never discouraging, and implemented the right game plan for both of my children. It’s been such a pleasure, and I know after it’s all said and done, I have friends for life.”

~ Vince S.

“My family has been coming to Dr Long’s office for over a year now. With two daughters and myself as patients with Dr Long, we make quite a few trips to the office. The staff are always pleasant and friendly, and the work they do is outstanding!! The difference they have made in the lives of my kids and myself is amazing. We are much more self confident now that they have given us beautiful smiles. I would and have recommended Dr Long’s office to anyone and everyone!!!!”

~ Mary Y.

“Professionalism and kindness - two important factors when searching for an office to treat my children and Dr. Long's office has it. Since the very first consultation, we have felt very welcome. Dr. Long and his staff has always greeted us with smiles and takes the time to answer all our questions.”

~ Abby P.
Connect with us to stay up to date on contests and office updates!

Say Hello

American Dental Association Indiana Dental Association American Association of Orthodontists North Central Dental Society Invisalign
Back to Top